Chest X-ray Analysis for Junior Doctors

Chest X-ray Analysis for Junior Doctors

A Structured Approach

When analysing a chest X-ray, a systematic approach helps ensure that no important findings are missed. One simple way is to move from image quality → bones/soft tissues → lungs → mediastinum/heart → pleura/diaphragm.

  1. Check patient details and image quality
    • Confirm name, date of birth, and study date.
    • Check penetration, rotation, and inspiration (ideally 9–10 posterior ribs visible).
  2. Assess bones and soft tissues
    • Look for fractures, dislocations, lytic/sclerotic lesions.
    • Scan soft tissues for masses, swelling, subcutaneous emphysema, or foreign bodies.
  3. Examine the lung fields
    • Consolidation, masses, nodules, cavities.
    • Signs of atelectasis (volume loss, shift) or pneumothorax.
    • Interstitial markings, fibrosis, reticular/nodular patterns.
  4. Inspect mediastinum and hila
    • Heart size and shape; mediastinal width and contour.
    • Hilar enlargement or abnormal contours suggesting lymphadenopathy or mass.
  5. Review pleura and diaphragms
    • Pleural effusions, thickening, calcifications, pneumothorax.
    • Diaphragmatic elevation, flattening, eventration, or hernia.

Click on Images to Enlarge

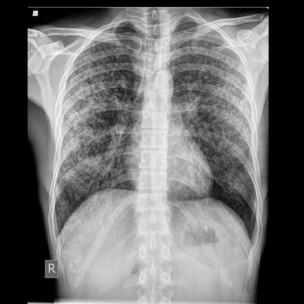
Radiological anatomy of a normal chest X-ray
Radiological anatomy of a chest X-ray
Checklist of areas to review on a chest X-ray
Key areas that should be reviewed on every CXR

Pneumonia

Feature Description
Consolidation Lobar or segmental increased opacity obscuring lung detail.
Air bronchogram Visible air-filled bronchi within opacified lung parenchyma.
Silhouette sign Loss of normal borders (e.g. heart border, diaphragm) due to adjacent consolidation.
Left middle lobe pneumonia versus normal lung
Comparison of a normal lung and left middle lobe pneumonia

Pleural Effusion

Feature Description
Blunted costophrenic angle Loss of sharp angle between diaphragm and chest wall.
Fluid layering Horizontal fluid level, more evident on erect or decubitus views.
Meniscus sign Crescent-shaped opacity rising higher laterally than medially at the lung base.
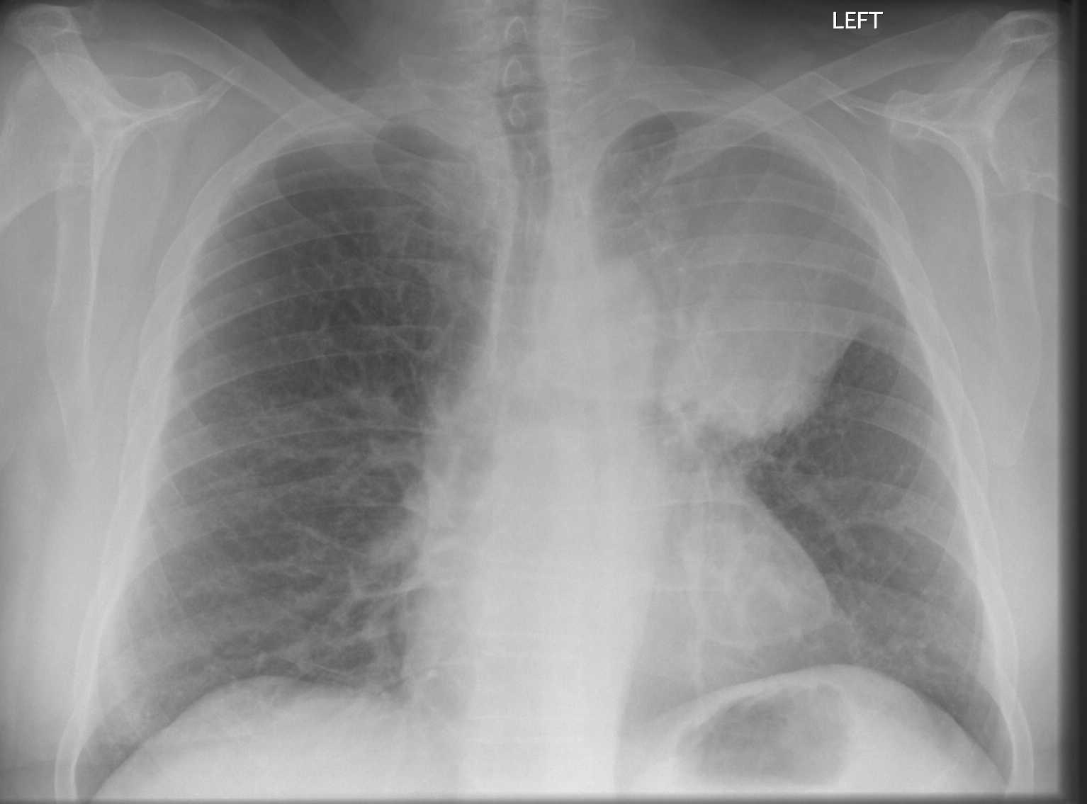
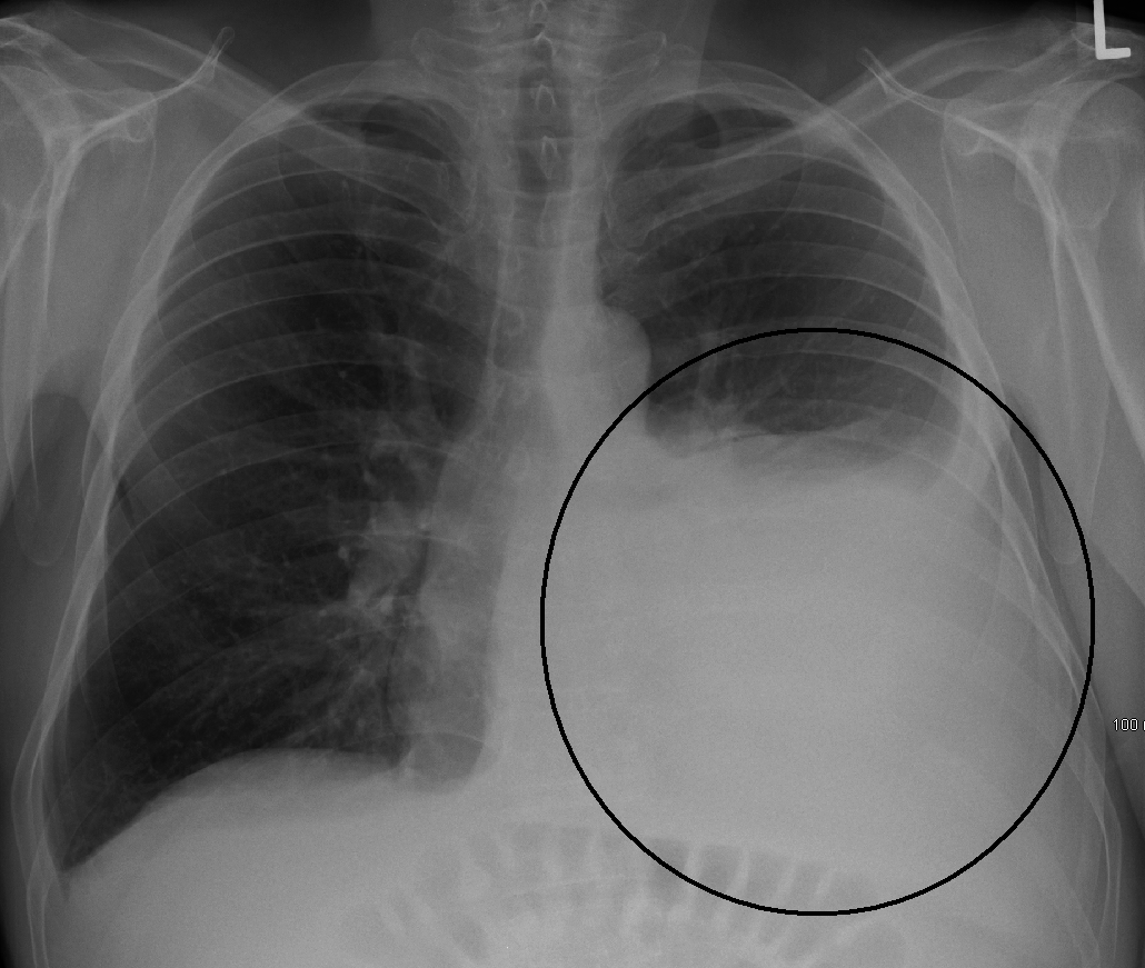
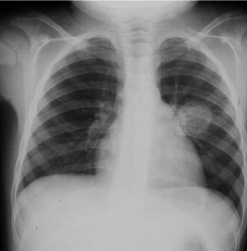
Left-sided pleural effusion
Chest X-ray with a left-sided pleural effusion

Pneumothorax

Feature Description
Visceral pleural line Thin sharp white line marking the lung edge, separated from chest wall.
Absence of lung markings No pulmonary vascular markings peripheral to the visceral pleural line.
Deep sulcus sign In supine films, abnormally deep and lucent costophrenic angle suggesting an anterior pneumothorax.
Right-sided pneumothorax
Right-sided pneumothorax

Heart Failure

Feature Description
Cardiomegaly Enlarged cardiac silhouette (CTR > 0.5 on PA film).
Kerley B lines Short, horizontal lines at lung bases representing interstitial oedema.
Upper lobe diversion Prominent upper lobe vessels indicating pulmonary venous hypertension.
Peribronchial cuffing Thickened bronchial walls due to interstitial fluid.
Typical features of CCF on chest X-ray
Typical congestive cardiac failure CXR

Chronic Obstructive Pulmonary Disease (COPD)

Feature Description
Hyperinflated lungs Increased lung volume, flattened diaphragms, more than 6 anterior ribs above diaphragm.
Bullae Round, thin-walled, air-filled spaces within lung parenchyma.
Narrowed mediastinum Compressed mediastinal structures due to hyperinflation.
Four stages of COPD
The four stages of COPD
Typical COPD findings on chest X-ray
Typical COPD findings on CXR

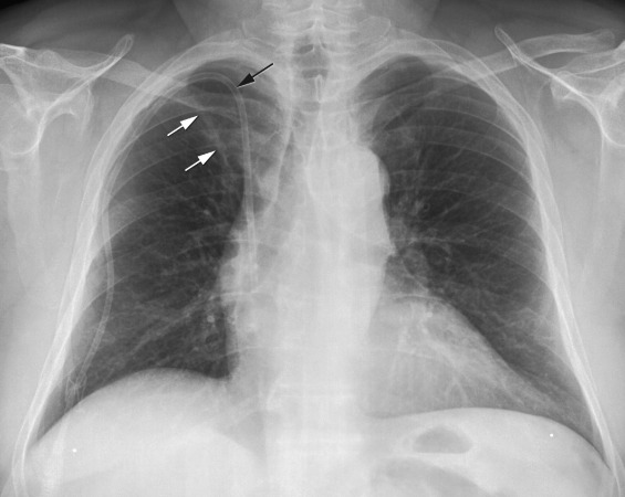
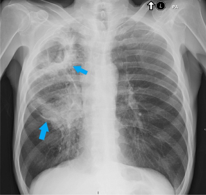
Pulmonary Tuberculosis (TB)

Pulmonary tuberculosis is caused by Mycobacterium tuberculosis. It primarily affects the lungs but can disseminate to other organs.

Stage Description Chest X-ray Findings
Latent TB infection Infection without symptoms Chest X-ray often normal.
Pulmonary TB (active disease) Symptomatic pulmonary infection
  • Primary TB: hilar lymphadenopathy, Ghon focus / Ghon complex.
  • Post-primary (reactivation) TB: upper lobe/apical consolidations, cavitation, fibrosis, sometimes pleural effusions.
Miliary TB Haematogenous dissemination
  • Diffuse tiny nodules throughout both lungs (miliary pattern).
  • May have associated involvement of liver, spleen, brain, etc.

Diagnostic Clues

Treatment requires combination anti-TB therapy over several months according to national guidelines.

Latent TB
Latent TB – often normal CXR
Pulmonary TB
Active pulmonary TB
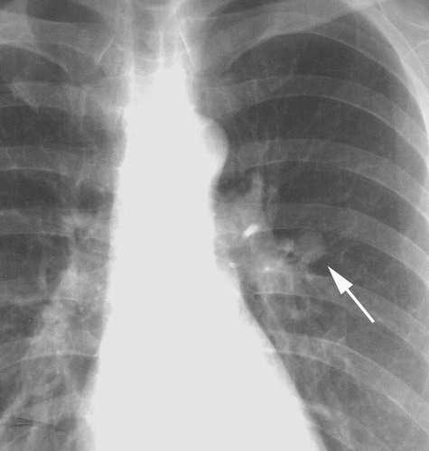
Ghon complex on X-ray
Ghon complex on CXR
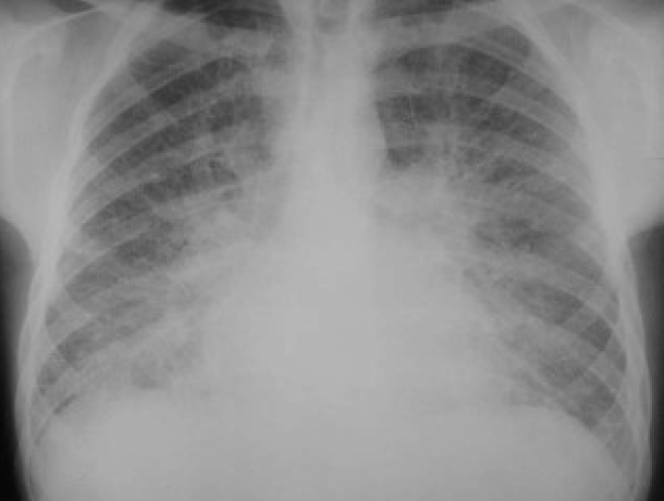
Miliary TB
Miliary TB

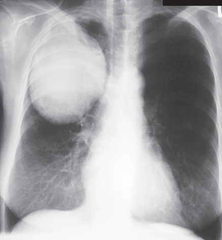
Lung Cancer

Lung Cancer Type Radiological Features
Non–small cell lung cancer (NSCLC) Solitary nodule or mass, irregular/spiculated margins, possible cavitation.
Small cell lung cancer (SCLC) Central or hilar mass, rapid growth, prominent lymphadenopathy.
Adenocarcinoma Peripheral nodule, sometimes ground-glass opacity or lepidic growth pattern.
Squamous cell carcinoma Central mass or nodule, frequent cavitation, hilar lymphadenopathy.
Large cell carcinoma Peripheral or central mass, rapid growth, may cavitate.
Bronchial carcinoid tumour Well-defined, round/oval nodule; central or peripheral; usually slow-growing.
Metastases to the lung Multiple nodules of varying size, well-defined margins, random distribution; may cavitate depending on primary.
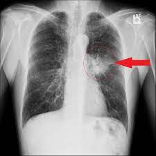
Non–small cell lung cancer
Non–small cell lung cancer (NSCLC)
Small cell lung cancer
Small cell lung cancer (SCLC)
Adenocarcinoma of the lung
Adenocarcinoma of the lung
Squamous cell carcinoma of the lung
Squamous cell carcinoma of the lung
Large cell carcinoma of the lung
Large cell carcinoma of the lung
Bronchial carcinoid tumour
Bronchial carcinoid tumour
Pulmonary metastases
Metastatic deposits in the lung

Final Note

This page provides a rapid overview of common CXR patterns for ED practice. Always integrate radiographic findings with clinical assessment, lab results, and further imaging where indicated, and discuss uncertainties with radiology or a senior colleague.